Invasive Lobular Cancer (ILC) National Breast Cancer. . Sometimes invasive lobular breast cancer can be larger than it appears to be when reviewing a mammogram because of the way it grows. It can be commonly identified as a higher stage cancer. Invasive lobular carcinoma is known for being a slow growing tumor, usually grade I or II. Slow growing, grade I tumors don’t usually respond well to chemotherapy, so hormonal therapy is key for this type of cancer.
Invasive Lobular Cancer (ILC) National Breast Cancer. from www.researchgate.net
Invasive lobular carcinoma (ILC) is the second most common type of breast cancer, after invasive ductal carcinoma. About 10% of all breast cancers are ILC.
Source: www.researchgate.net
Invasive lobular carcinoma is a cancerous development commencing at the lobules of the breast. Lobules of the breast are milk.
Source: breast-cancer.ca
Invasive lobular carcinoma (ILC) is the most common of the breast cancer special types, accounting for up to 15% of all breast cancer cases. ILCs.
Source: media.springernature.com
Invasive lobular carcinoma is the second most common type of breast cancer. It affects the lobules of the breast, which are the structures that.
Source: www.researchgate.net
Grade 2 cells look less like normal cells and are growing a bit faster. Grade 3 cells look much different and will likely grow and spread the fastest..
Source: media.springernature.com
Abstract The Nottingham histologic grade (NHG) is a prognostic marker for infiltrating ductal carcinoma. Its usefulness for invasive lobular carcinoma.
Source: plaza.umin.ac.jp
The reported incidence of invasive lobular carcinoma ranges from 0.6 to 20%. 2, 3, 4 In the present series, the proportion of invasive lobular.
Source: medcraveonline.com
Pathologists use a system called the Nottingham grading system to divide invasive lobular carcinoma into three levels or grades – 1, 2, and 3..
Source: www.omicsonline.org
Most invasive lobular carcinomas are hormone receptor positive, meaning they use hormones to grow. To decrease the chance of your cancer.
Source: basicmedicalkey.com
Bloom-Scarff-Richardson grading scheme is most widely used Total score and each of the three components should be reported Based on invasive area only.
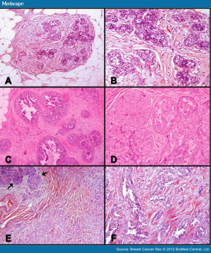
Source: img.medscape.com
Kellie Curtain [00:01:50] Okay, so invasive lobular carcinoma is actually the second most common type of breast cancer. Bruce Mann [00:01:56] It’s the.
Source: www.researchgate.net
Estrogen receptor and progesterone receptor were highly expressed irrespective of the grade of tumor. HER2/neu protein overexpression and E-cadherin protein.
Source: www.pathologyoutlines.com
Invasive lobular carcinoma is less likely than other forms of breast cancer to cause a firm or distinct breast lump. Can lobular carcinoma cause dimpling?.
Source: basicmedicalkey.com
Invasive lobular carcinoma (ILC) is the second most common form of breast cancer diagnosed in the United States, representing 10% to 15% of diagnosed.
Source: onlinelibrary.wiley.com
If they add up to 6 or 7, it means the cancer is grade 2 (moderately differentiated). If they add up to 8 or 9, it means the cancer is grade 3 (poorly.
Source: www.researchgate.net
It was explained that they found that lots of women were given chemo when they may not have needed ir as it is very invasive and doing this test.
0 komentar